(세균) Helicobacter pylori
-
- 작성자
- 최고관리자
-
- 조회
- 74
-
- 작성일
- 2020-01-31
(세균) Helicobacter pylori

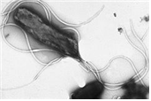
출처: http://info.fujita-hu.ac.jp/~tsutsumi/photo/ photo002-6.htm Yutaka Tsutsumi, M.D. Professor Department of Pathology Fujita Health University School of Medicine
• 위 험 군 :제 2위험군
• 국내범주 :-
• 특 성 :Helicobacteraceae과, 그람음성, 나선형 세균, 양극형 편모, 운동성 있음, 미산소성
1. 병원성 및 감염증상
- 잠복기 : 명확히 알려지지 않았으나 병원체 섭취 3~4일 후 복통, 속쓰림 등의 증상이 나타난바 있음.
- 위염, 소화성 궤양, 위암, 점막연관림프조직 B 세포 림프종을 유발함.
- 주요증상은 복통, 속쓰림 메스꺼움 등임.
- 사망율은 2~4%임.
2. 치료 및 백신
- 치료 : erythromycin, tetracycline, penicillin, cephalosporin, metronidazol
- 백신 : -
3. 실험실 생물안전정보
- 감염위해요소
- 감염 경로
- 일반 감염경로:오염물질 섭취, 분변-경구 경로롤 감염됨.
- 실험자 감염경로:우발적 섭취로 인하여 감염 가능함. - 감염량 : 사람 감염량은 알려지지 않음. rhesus monkey에 orogastrical 경로로 104 이상 주입하였을 경우 감염됨.
- 숙주:사람, 영장류, 돼지, 소, 개, 고양이, 설치류, 조류 등
- 실험실 획득감염:
- 여성 위장병 학자가 병원체 취급 후 오염된 손을 입에 대어 우발적 섭취로 인한 감염.
(출처 : Laboratoryacquired Helicobacter pylori infection. Lancet, 346(8988), 1489-1490
- 남성 세균학자가 병원체 연구 중 감염되어 출혈성 위장애를 앓음.
(출처 : Acute hemorrhagic gastropathy with multiple shallow ulcers and duodenitis caused by a laboratory infection of Helicobacter pylori, Gastrointestinal endoscopy, March 1998, 47(3) 291-29)
- 생물안전밀폐등급
- BL2 권장:임상검체, 의심검체, 감염성물질, 배양체를 취급하는 실험
- ABL2 권장:동물 감염실험 및 감염동물 해부 등
- 개인보호장비 :반드시 실험복을 착용하고, 감염성물질이 피부에 직접적으로 접촉할 경우 장갑 착용, 감염성물질이 튈 우려가 있을 경우 눈보호구 착용, 에어로졸 발생우려가 있는 조작과 대량 또는 고농도의 균 취급 시 생물안전작업대(BSC) 내에서 작업할 것을 권장.
- 소독 및 불활성화 : 유효염소량이 1.1mg/L 소독제에 45분 처리, 70℃에서 10분간 처리, 95℃에서 5분간 처리, 121℃에서 20분 이상 고압증기멸균 등
- 숙주 외 환경저항성:실험실에서 배양하기도 어렵고 숙주 밖 생존가능성이 낮으나 구형의 형태로 강물과 유사한 환경에서 1년까지, 4℃ 물에서 10일 이상 생존 가능함.
- 폐기물 처리:감염성물질을 취급한 모든 폐기물은 고압증기멸균 등의 처리 후 의료폐기물로 처리
