(바이러스) Hepatitis D virus
-
- 작성자
- 최고관리자
-
- 조회
- 140
-
- 작성일
- 2020-02-03
(바이러스) Hepatitis D virus

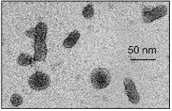
출처:http://jvi.asm.org/content/81/7/3608/F4.expansion.html, Severin G. et al. J.Virol. Apr. 2007; 81(7): 3608-3617
• 위 험 군 :제 2위험군
• 국내범주 :-
• 특 성 :Unassigned(과 없음),Deltavirus속, circular (-)ssRNA
1. 병원성 및 감염증상
- 잠복기 : 2~8주
- B형 간염바이러스 감염자에게만 감염되고 전격성 감염(fulminant hepatitis)를 유발함.
- D형 간염바이러스는 만성 B형 간염 감염자에게 중복 감염되거나, B형 간염바이러스와 D형 간염바이러스가 동시에 감염됨.
- D형, B형 간염바이러스 동시감염의 경우 피로, 무기력, 복부통증, 식욕부진, 메스꺼움의 초기증상이 나타나고, 황달이 나타남. 90% 이상이 스스로 회복함.
- 중복감염의 경우 심각한 급성 간염을 유발하고, 90%정도에서 만성 D형 간염을 일으킴. 만성 D형 간염환자는 전격성 감염 또는 환자의 60~70%가 간경변이 나타남. 전격성 간염은 심각한 간염 및 뇌병증을 일으키면 사망률이 80%에 이름. D형 간염의 사망률은 2~20%임.
2. 치료 및 백신
- 치료 : 인터페론-알파
- 백신 : B형 간염 백신으로 예방 가능
3. 실험실 생물안전정보
- 감염위해요소
- 감염 경로
- 일반 감염경로:혈액을 통해 전파되거나, 오염된 주사기 사용, 성접촉으로 전파됨.
- 실험자 감염경로 : 우발적 접종 및 상처난 피부, 점막에 감염성물질 접촉으로 인하여 감염 가능함. - 감염량 : -
- 숙주:사람, 침팬지와 마멋(woodchuck)을 실험모델로 이용함.
- 실험실 획득감염: -
- 생물안전밀폐등급
- BL2 권장:임상검체, 의심검체, 감염성물질, 배양체를 취급하는 실험
- ABL2 권장:동물 감염실험 및 감염동물 해부 등
- 개인보호장비 : 반드시 실험복을 착용하고, 감염성물질이 피부에 직접적으로 접촉할 경우 장갑 착용, 감염성물질이 튈 우려가 있을 경우 눈보호구 착용, 에어로졸 발생우려가 있는 조작과 대량 또는 고농도의 바이러스 취급 시 생물안전작업대(BSC) 내에서 작업할 것을 권장, 날카로운 도구 사용 시 주의
- 소독 및 불활성화 : 1~2% glutaraldehyde, 6~10% hydrogen peroxide, iodophores (40~50 ㎎/L free iodine), chlorine compounds(500~5,000㎎/L free chlorine), 0.5~3% phenolic compounds, 121℃에서 15분 고압증기멸균, 17℃에서 1시간 또는 160℃에서 2시간 건열멸균 등
- 숙주 외 환경저항성:혈액 및 혈액 제품에서 생존함.
- 폐기물 처리:감염성물질을 취급한 모든 폐기물은 고압증기멸균 등의 처리 후 의료폐기물로 처리
