(바이러스) Lassa virus
-
- 작성자
- 최고관리자
-
- 조회
- 168
-
- 작성일
- 2020-02-04
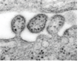
(바이러스) Lassa virus

출처:http://phil.cdc.gov/phil/details.aspID#8699, CDC/ C. S. Goldsmith, D. Auperin
• 위 험 군:제 4위험군
• 국내범주:고위험병원체, 생물작용제, 전략물자통제병원체
• 특 성:Arenaviridae과, Arenavirus속, 부정형이나 대체로 구형, (-)ssRNA 바이러스, 피막 있음
1. 병원성 및 감염증상
- 잠복기 : 5~21일
- 급성 바이러스성 질환인 라싸열을 유발함.
- 증상이 경미하거나 무증상이 80%임.
- 초기에는 열, 구토, 복통, 인후통, 기침, 구강 점막 궤양, 삼출성 인두염, 경부 림프절 비대가 나타나며, 그 후 목과 머리에 심한 붓기, 흉막과 심막 삼출 증상이 나타남.
- 사망률은 감염증상으로 인해 병원 입원환자의 15~20%, 감염된 사람의 1~2%
2. 치료 및 백신
- 치료 : 특별한 치료제나 치료방법은 없으며 수액 공급 등 대증요법으로 치료
- 백신 : -
3. 실험실 생물안전정보
- 감염위해요소
- 감염 경로
- 일반 감염경로:감염된 설치류에게 물리거나 감염된 설치류의 타액, 분비물, 혈액 등의 직접적 접촉 또는 에어로졸 흡입으로 감염됨. 에어로졸로 인하여 사람 간 전파가 가능함. 감염된 사람의 소변, 인두분비물 등을 통하여 전파 가능하며, 오염된 주사바늘 및 의료기기에 의한 병원감염도 발생함.
- 실험자 감염경로 : 배양액 등 감염성 물질 취급 시 발생하는 에어로졸 흡입, 손상된 피부에 노출 및 날카로운 도구에 찔림, 감염동물 실험 시 감염 가능. - 감염량 : 에어로졸을 통하여 1~10개로 감염가능
- 숙주: 사람, 설치류 중 다유방쥐(Mastomys natalensis)
- 실험실 획득감염: -
- 생물안전밀폐등급
- BL4 권장:진단을 목적으로 임상검체 시험 검사, 균 배양 등 병원체를 직접 취급하는 실험 등
- ABL4 권장:동물 감염실험 및 감염동물 해부 등
- 개인보호장비 : 평상복을 완전히 덮는 전신보호복과 덧신 착용 후 추가적인 보호복 또는 필요시 양압복 착용. 에어로졸이 발생하는 조작이나 고농도, 혹은 대용량 배양액 조작은 생물안전작업대 내에서 작업할 것을 권장, 주사바늘 및 뾰족한 실험도구 사용 자제
- 소독 및 불활성화 : 1% sodium hypochlorite, 3% acetic acid, 2% glutaraldehyde, 10% formaldehyde, 혈청은 60℃에서 1시간 처리, 121℃에서 15분 이상 고압증기멸균, 자외선 조사, 감마선 조사
- 숙주 외 환경저항성:에어로졸 형태로 안정적임. 특히 저습도(상대습도 30%)에서 안정적임.
- 폐기물 처리:감염성물질을 취급한 모든 폐기물은 고압증기멸균 등의 처리 후 의료폐기물로 처리
